May, 2004
Living it up with "dog time" at every chance she can get, Marla hugs friend Daisy during a visit from friends Julie Andersen and Liz Beerman.
Marla works with Joe Mazotta, a physical therapist at Valley View Hospital, when she is in Glenwood Springs.
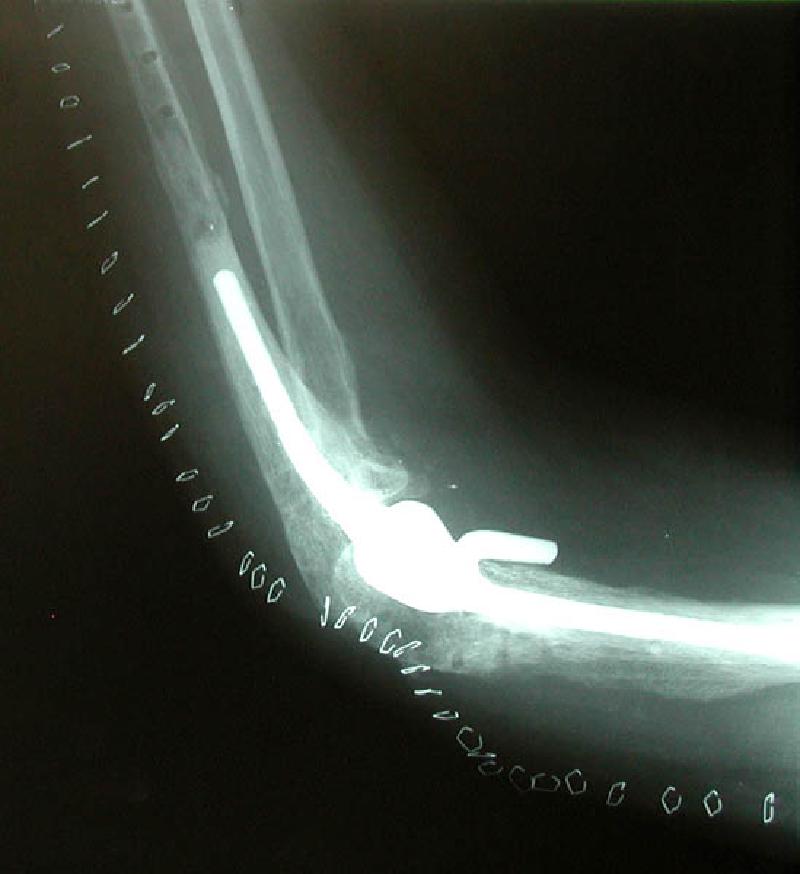
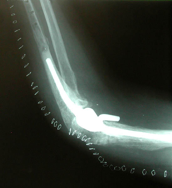
Side and front views of Marla's new artificial elbow joint! You can see the staples that hold the surgical incision closed.
During a weekend in Glenwood Springs, Marla got to visit with family friends Parvin Erlandsen (left), her daughter, Mina Bolton, and Mina's new daughter, Helen.
Spending time with fellow Glacier Peak teachers like Jen, host of the Lu-Au, is a great way to catch up on all the current happenings.
Front and side views of Marla's right elbow before her April 22nd elbow replacement surgery. The screws and plates were emplaced during the first re-construction post-trauma in December 2002. The entire infrastructure was surrounded by and interwoven with excess bone build-up, a common side effect of joint trauma coincident with head trauma. This excess bone had to be removed during her elbow replacement surgery.












